Quick Email Now!
-
-
Call Us
82380 16380 | 82380 15380
Quick Email Now!
Call Us



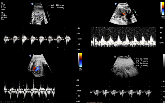
Fetal echocardiography, also known as fetal cardiology, is a specialized ultrasound used to study the baby’s heart during pregnancy. It provides a detailed view of the heart’s structure, rhythm, and function. This test helps detect congenital heart defects early, allowing doctors to plan appropriate care before birth. It is usually recommended between 18 and 24 weeks of pregnancy.
A fetal echocardiogram is suggested if there’s a family history of heart disease, diabetes in the mother, or abnormal results from a routine scan. It is also advised for pregnancies involving IVF, twins, or suspected genetic conditions. At Isha IVF Centre in Palanpur, our specialists ensure that every expectant mother receives personalized recommendations based on her medical history and risk factors.
The procedure is similar to a standard ultrasound. A transducer is gently moved over the abdomen to capture detailed images of the baby’s heart. The test is painless and completely safe for both mother and baby. Using advanced ultrasound machines, doctors can see the heart’s chambers, valves, and blood flow in real time, ensuring a precise evaluation.
Early detection of heart problems allows timely medical intervention. With fetal echocardiography, doctors can identify heart defects that might affect the baby’s health after birth. This helps families prepare and ensures the baby receives immediate care if needed. Moreover, the scan provides peace of mind when everything appears normal.
At Isha IVF in Palanpur, our fetal medicine experts specialize in fetal cardiology and use advanced imaging technology for accurate diagnosis. We focus on both medical precision and emotional support, ensuring parents understand every finding clearly. Each evaluation is carefully reviewed by trained specialists for the best possible outcomes.
A fetal echocardiography scan is an essential part of comprehensive prenatal care. With early detection, expert guidance, and compassionate support, Isha IVF ensures that every baby gets the healthiest possible start. Our commitment to advanced fetal cardiology care helps families make informed decisions and embrace pregnancy with confidence.
Expert guidance and emotional support at every step of your fertility journey.

Successful IVF Cases
Under the Expertise of Dr. Dhaval Dharani
ISHA IVF AND FETAL MEDICINE CENTRE, Aroma Circle, behind Hotel Cappal, Madhuvan Society, Nilkamal Society, Palanpur, Gujarat 385001, India
Copyright ©2026 Isha IVF . All Rights Reserved. Developed By i3 Corporation